Get Straight Teeth in as little as 6 Months!

Fast
You shouldn’t have to wait 2 years for straight teeth. Six Month Smiles is a clear braces system designed to straighten your teeth in about 6 MONTHS.
Affordable
Six Month Smiles is generally less expensive than traditional braces or aligners due to shorter treatment time. Most providers have payment plans suitable for every budget.
Effective
Six Month Smiles uses the latest in digital technology coupled with experienced orthodontic professionals. We use a modern twist on a reliable and safe method.
What is Six Month Smile Braces?
Dr. Scott is a Six Month Smiles mentor.
This means that he has completed more Six Month Smiles cases than any other dentist in Georgia and teaches other dentists how to do this procedure more efficiently and effectively.
Even if you have been told you need 2 years of braces you may qualify for 6 month adult braces. Book your complementary consultation to find out if you are a candidate for straight teeth in just 6 months!
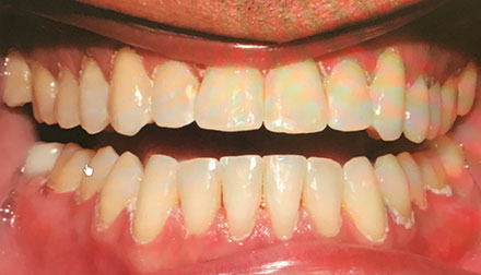
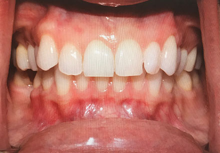
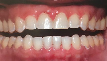
Real Results
See REAL results by REAL people who have transformed their smile using our clear braces. There are thousands of incredible stories by Six Month Smiles patients.
-
With traditional braces, treatment can last between two and three years for results. In the meantime, you must live with the metal brackets and wires on your teeth that can be embarrassing, especially for adults. Metal braces also require constant adjustments and visits to the dentist or orthodontist during the long treatment period. This can be a hassle for a busy lifestyle. With Six Month Smiles, you can get the straight smile you want in a fraction of the time of traditional braces, making it more convenient for busy adults.
-
Six Month Smiles are braces for adults, but they are designed to be discrete. The clear brackets are cleverly blended into your smile and the tooth-colored wires are difficult to notice. This is a great option for adults that don’t want to advertise their choice to straighten their teeth every time they smile. The discrete design is a desirable attribute that many adults prefer.